Myth: We only use 10% of our brain
Myth: We only use 10% of our brain
This myth has been conveyed in a number of films, for example in the film Lucy by Luc Besson, and although it sounds appealing, unfortunately there is no scientific basis for the theory.
What do brain scans actually show?
Let's first get some basic knowledge in place.
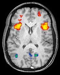
Here is a picture of a brain scan of a person whose brain is performing some function (exactly what function is irrelevant to what follows, but it could be, for example, speaking a language, receiving a reward in the brain, or planning a task). What does the scan show?

Figure 4. Source: https://en.wikipedia.org/wiki/Neuroimaging#/media/File:FMRIscan.jpg
When we look at the image of the brain scan, one might well think that there is activity only in the areas that are colored, and that they are therefore responsible for performing the given function.
At least that was my immediate thought when I first started looking at these kinds of pictures.
The problem is that it's just not correct, and it's actually quite unfortunate to look at it that way because it gives rise to two whole wrong ideas about how the brain works.
- On the one hand, one could get the idea that one only uses a small part of the brain, and
- partly it gives life to the idea that a specific center in the brain is solely responsible for a given function.
The first idea is a myth, and I write more about it here .
The second idea is not outright wrong, but it is much more nuanced than that, and I will explain that to you below.
Let's take a look at what we actually see when we look at an image of a brain scan. There are different types of methods for measuring activity in the brain. Here I will focus on one of the most widely used; Functional Magnetic Resonance Imaging, or simply fMRI. fMRI exploits the fact that blood circulation in the brain and activity in the brain's nerve cells are related. When an area of the brain is in use, the amount of blood in the area will also increase.
There is activity throughout the brain to a greater or lesser extent all the time, so when brain researchers want to investigate how the brain functions in different situations, they first take a neutral baseline measurement of the subject's brain in a resting state, where they are not thinking about anything or doing anything. The subject is then exposed to stimuli while measuring brain activity.
The two results are now subtracted from each other using complicated mathematics, and the result shows the difference in brain activity between the two situations.
You can compare it to measuring the activity level of all the players in a football match. First, when no goals are scored and then in a situation where goals are scored. The player who scores may be the only player doing something unusual, but that doesn't mean that the others aren't doing anything or that they don't have an influence on the goal being scored. But if you interpreted the image the way I originally interpreted brain scan images, you would think that the scoring player alone was responsible for the goal being scored.
In the image above, there are two areas that are colored green. In these areas, the activity in the second measurement was actually less than in the baseline measurement. Does this mean that these areas have nothing to do with the given function? Or is it precisely the reduced activity in interaction with the increased activity elsewhere that makes the brain perform the given function? Translated into our football analogy, it could be a player who failed to run offside and thus created a prerequisite for the scoring player to score.
Therefore, brain researchers are typically very reluctant to attribute the entire responsibility for a given function to individual areas of the brain and typically formulate their ideas more in terms such as that an area is involved in a given function.
It is quite complicated to uncover the secrets of the brain simply by assessing activity in a few different areas. Imagine trying to figure out what led up to a goal, for example which players passed the ball to each other in a football match, just by looking at the players' activity levels. To get something meaningful out of it, you would probably do several measurements over time, and that is exactly what brain scientists do. This typically results in some very complex diagrams, like the one below - which you would have to keep your tongue straight - and be a brain scientist - to be able to decode.

Figure 5 "Schematic illustration showing cortico-basal ganglia networks in relation to serial adaptation. A shift from the associative to the sensorimotor cortico-basal ganglia network is observed during habit formation." Source: From Actions to Habits Neuroadapt
Don't worry, I'm not going to explain the diagram. I'm just showing the diagram as a contrast to the simple images of brain scans.
Collection
Now that we know what brain scans actually show, it is reasonable to assume that the myth has been given life by images of brain scans interpreted by people who have not studied what they actually show.
The myth fuels the dream that we could activate our full potential by using a larger percentage of our brain than the 10%.
Although it sounds tempting, there is no scientific evidence to suggest that we only use 10% of our brain. We use the WHOLE brain, but different areas of the brain have different functions, and therefore we don't use them all at the same time. It's like saying that if we use all our muscles at the same time, we will become stronger.
You have muscles to extend your legs, and other muscles to bend them. If you use them all at the same time, you'll get cramps, not strength.
Despite the lack of scientific basis, a 2012 survey of school teachers in the UK and the Netherlands found that 48% and 46% of the participants believed the myth, respectively.
Do you?
Do you want to? learn more?
Maybe you could be interested in our Course in (digital) didactics - Learn to design good learning.
In this course you will learn how to develop learning that captures your recipients' attention and works with their motivation to learn. The course is also for those of you who teach in a classroom or online and need a professional boost.
Do you want to? learn more on your own?
If you are interested in science, learning and brain myths, these articles will probably interest you.